Existen dos tipos o “patrones” de distribución de la artritis asociada a la EII, la artritis periférica y la artritis axial.
ARTRITIS PERIFÉRICA
La artritis periférica aparece hasta en el 20% de los pacientes con EII.
En los niños es la manifestación reumatológica extraintestinal más frecuente, por lo que en niños con artritis de unas pocas articulaciones que conjuntamente presentan problemas intestinales, lesiones cutáneas, anemia, pérdida de peso o retraso del crecimiento; debe considerarse el diagnóstico de EII.
La artritis puede aparecer antes del inicio de la enfermedad intestinal, aunque habitualmente aparece durante o después de la misma. Es más frecuente en la enfermedad de Crohn (EC) con afectación del colon y en la Colitis ulcerosa (CU) extensa . Las exacerbaciones de la EII y los brotes de artritis suelen coincidir.
Las articulaciones más afectadas suelen ser las rodillas, los tobillos, los codos, las muñecas y las pequeñas articulaciones de manos y pies. La afectación suele ser asimétrica (no afecta por igual a ambos lados del cuerpo) e iniciarse de manera súbita o repentina, con sensación de calor y dolor en las zonas afectadas, eritema y derrame articular (hinchazón de articulaciones por acumulo de líquidos); existe con menos frecuencia una forma progresiva de presentación y pacientes que presentan sólo dolores articulares con escasos signos inflamatorios.
Aunque la artritis se puede presentar de múltiples formas, existen dos tipos de artritis periférica bien definidos en función de su localización y evolución (Tabla): la Artritis Periférica Tipo 1 o Pauciarticular y la Artritis Periférica Tipo 2 o Poliarticular.
| CLASIFICACIÓN DE LA ARTROPATÍA PERIFÉRICA | |
| Tipo 1 o Pauciarticular | Tipo 2 o Poliarticular |
|
|

Son características de la Artropatía periférica, la dactilitis o “dedos en salchicha” (llamados así por el aspecto que adopta el dedo de la mano o del pie) y la entesitis (inflamación en la zona de inserción de los tendones en el hueso), especialmente la que afecta al tendón de Aquiles.
En prácticamente ninguno de los casos, la artritis asociada a la EII destruye o deforma la articulación, por lo que el pronóstico articular suele ser bueno y la artritis suele remitir sin
ARTRITIS AXIAL
Dentro de esta artropatía enteropática podemos encontrar la Sacroileítis y la Espondilitis anquilosante.
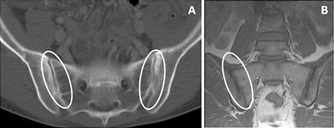
La sacroileítis radiológica (inflamación de la articulación situada entre el hueso sacro y el ilíaco) silente o asintomática, está presente en un 20% de los pacientes con EII. La prueba diagnóstica básica en estos caso es la radiología de pelvis y en algunas ocasiones, la resonancia magnética (RM) (Imagen 1).

La espondilitis (Imagen 2) predomina en los hombres y se manifiesta por dolor lumbar que con frecuencia abarca ambas nalgas, de inicio insidioso, que mejora con el ejercicio y empeora con el reposo (con un dolor nocturno característico que muchas veces despierta al que lo padece) y que se acompaña de rigidez matutina. Aunque éste es el síntoma predominante de la enfermedad, también puede afectar a articulaciones periféricas (especialmente caderas, hombros y rodillas).

A diferencia de lo que suele suceder en la artritis, la espondilitis evoluciona de forma independiente a la EII y las manifestaciones clínicas no se relacionan ni con los períodos de remisión o exacerbación, ni con la localización o extensión de la enfermedad intestinal.
Además, el inicio de los síntomas axiales a menudo es generalmente independiente y suelen preceder a la enfermedad intestinal en varios años.
http://educainflamatoria.com/index.php/existen-diferentes-tipos



